美芽妈妈 9岁女孩喝了“一口水”,导致食管报废,元凶很多家里都有

文章图片
文章图片
文章图片
文|美芽/兰心
父母有心想要护孩子周全 , 让他们健健康康的成长 , 无奈孩子实在是太调皮了 , 父母一不注意他们就玩起了危险的玩具 , 让父母100个不省心 。 有些孩子更是在玩耍的过程中一不小心伤到了自己 , 虽然伤在孩子的心上 , 疼却在父母的心上 。
9岁女孩喝了“一口水” , 导致食管报废 , 元凶很多家里都有
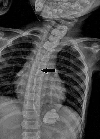
在广东有一个家庭突然之间迎来了一个噩耗 , 孩子生病出院了 。 事情的起因是孩子放学回家的时候看到桌子上有一瓶水 , 顺手拿起来喝了一小口 。 虽然只喝了一小口 , 却对孩子的身体造成了严重的伤害 , 连吃饭都成问题 。
住进医院后孩子仍然出现呕吐 , 腹痛等现象 , 饮食受到了限制 , 只能够吃一些比较软的食物 。 尽管医生倾尽全力的去治疗 , 可孩子的症状并没有减轻到 , 后来连喝水都成了一个大问题 。 让父母内心中焦虑的不行 。
其实孩子喝下的一小口水是空调清洁剂 , 具有很强的腐蚀性 , 一丢丢就能够破坏我们的皮肤 。 这个孩子的食管腐蚀 , 中下段2/3的地方严重狭窄 , 无法使用 , 基本处于报废状态 。 孩子的父母不断责怪自己 , 是他们的粗心才导致了悲剧的发生 。还好医生的医术高明 , 减下一小部分胃代替了孩子报废的食管 , 让孩子恢复了进食能力 , 身体逐渐变得健康 。 看到孩子的身体一天天的好起来 , 父母虽然很欣慰 , 但也有一些后怕 , 对待孩子的安全问题再也不敢掉以轻心了 ,
在生活中孩子容易受到哪些伤害呢?
⒈自身无知造成的伤害
其实有的时候孩子受伤也怪不得他们 , 是因为这个年龄段的孩子了解的东西不多 , 根本不知道什么东西是危险的 , 因此才在无知的情况下做错了事情 , 导致自己受伤 。 面对这种情况 , 我们无法去责怪孩子 , 只能责怪父母没有给孩子一个安全的生活环境 , 这一点一定要及时改正 。
⒉来自外界的伤害
虽然孩子长得很可爱 , 但正是因为他们的可爱才让孩子更容易受到伤害 。 一些心怀不轨的人偷偷盯上了我们的孩子 , 想要把他们带走 , 卖给另一户人家 。 这些人贩子的所作所为令人发指 , 为了孩子的安全 , 父母一定要提高警惕 , 不要让陌生人靠近孩子 , 给孩子一个安全的生活环境 。父母该怎样去保护孩子呢?
⒈排查家中的危险物品
有一些东西看起来不危险 , 但到了孩子的手里 , 就有可能让他产生窒息的情况 。 一个简简单单的笔帽 , 如果没有缺口被孩子吞了下去 , 造成的后果是非常严重的 。 还有很多小的物品 , 比如纽扣电池 , 玻璃球 , 都是孩子容易吃下去的东西 , 父母一定要把他们藏得好好的 。⒉教给孩子一些安全知识
孩子们不知道什么东西是危险的 , 这就需要父母去帮他们科普了 , 把一些危险的东西拿出来 , 让孩子不断认识 , 知道这个东西吞到肚子里会发生什么危险的事情 。 而这一点正是很多父母所缺乏的 , 总是因为生活中一些忙碌的事情 , 而忽视了对孩子的教育 , 各位家长千万不要再如此掉以轻心了 , 孩子的安全问题比什么都重要 。 【美芽妈妈|9岁女孩喝了“一口水”,导致食管报废,元凶很多家里都有】寄语
一口小小的水都能够对孩子造成如此严重的伤害 , 父母就别不当回事了 , 这种空调清洗剂还是很多家里面都有的 。 家长应该把家里的一些危险品放到高一点的地方 , 不要让孩子轻易碰到 。 最好是随用随买 , 尽量不要让这些东西出现在家里 。 大家都不希望让孩子受到伤害 , 因此从生活中的一点一滴做起就显得非常重要了 。
推荐阅读
- 明星 杨颖宋雨琦被闹翻后,空降直播间互动,赞杨颖比自己妈妈好
- 伊能静 《上班啦!妈妈》第六期扎心议题引讨论职场中只有同理心没有同情心
- 妈妈 杨颖宋雨琦被“闹翻”后,空降直播间互动,赞杨颖比自己妈妈好
- 撒娇 72岁女儿吃樱桃看电视,92岁妈妈包饺子,网友:有妈就能撒娇
- 卢卡斯 IG又起舆论节奏,苏小落公开嘲讽宝蓝,微博被“妈妈粉”给冲了
- 厨艺 Ella晒一桌美食炫耀厨艺,4岁劲宝现身为妈妈助威,豪宅内景罕曝光
- 程莉莎 《上班啦!妈妈》消费女性话题,“她”字综艺真的不行了吗?
- 班主任 妈妈进步神速刘雯难抉择 《妈妈,你真好看》妈妈尝试独立选装
- 姐姐热潮还没过去,妈妈潮又来了!求求综艺大佬,还是放过妈妈们吧! 瓜姐吃瓜 爸爸们
- 收获 她参加《中国好声音》,未夺冠却收获了爱情,29岁嫁爱奇艺总裁
